Introduction
Chondromalacia patella, a prevalent knee condition, is characterized by the softening and deterioration of the cartilage beneath the kneecap (patella). A crucial aspect of understanding this condition lies in recognizing its various grades, each indicative of the severity of cartilage damage. This blog embarks on a comprehensive journey through the grading spectrum of chondromalacia patella, delving into the clinical significance, diagnostic methodologies, and management strategies for each grade.
Grades of Chondromalacia Patella
- Grade 1 : At this initial stage, the cartilage surface becomes softened, but no visible damage occurs. The cartilage may appear intact on imaging, but microscopic changes are present. Clinically, patients may experience minor discomfort during activities involving prolonged knee flexion, such as sitting with bent knees or kneeling. Pain tends to be intermittent and mild.
- Grade 2 : In Grade 2, MRI might depict changes in the cartilage surface, such as swelling or blistering. These early signs of cartilage degeneration are often associated with increased pain during activities like climbing stairs, squatting, or running. Crepitus, a grinding sensation, may also manifest during knee movement.
- Grade 3 : At this stage, the cartilage damage becomes more substantial, with visible erosion and fissuring. MRI scans might reveal irregularities in the cartilage surface and underlying bone marrow edema. Patients experience moderate to severe pain, especially during activities that stress the patellofemoral joint, like jumping, prolonged sitting, or descending stairs.
- Grade 4 : In the most advanced stage, Grade 4, the cartilage damage extends significantly, exposing the underlying bone. This stage often involves severe erosion and full-thickness cartilage loss. MRI findings may include extensive cartilage fibrillation, bone marrow edema, and joint effusion. Patients experience persistent pain, swelling, and functional limitations.
Correlating Imaging, Clinical Evaluation, and Grading
MRI Findings : Magnetic Resonance Imaging (MRI) is a cornerstone in diagnosing and grading chondromalacia patella. It can identify cartilage changes, reveal the extent of cartilage erosion, and assess bone changes associated with the condition.

Grading Spectrum of Chondromalacia Patella: A Radiological Approach
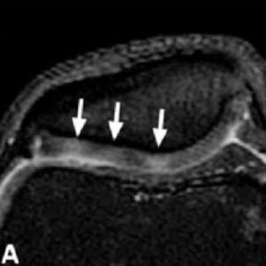
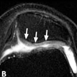
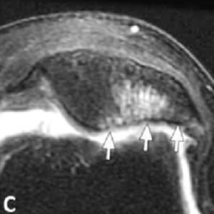
Chondromalacia patellae grades II–IV in various patients.
(A) Axial fast spin echo proton density fat saturated (FSE PD FS) MR image of chondromalacia patellae grade II in a 46-year-old male. High signal is seen in the patellar cartilage in the lateral patellar facet (arrows).

(B) Axial FSE PD FS MR image of chondromalacia patellae grade III in a 51-year-old female. There is full thickness focal signal intensity change, contour irregularity and thinning of the cartilage (arrows).

(C) Axial PD MR image of chondromalacia patellae grade IV in a 63-year-old female. There is extensive full-thickness chondral loss along the medial patellar facet. There is also associated marrow oedema and cystic change within the adjacent bone of the patella (arrows).

- Clinical Evaluation : The clinical assessment involves patient history, symptom analysis, and physical examination. Crepitus, pain during knee movements, muscle imbalances, and functional limitations are crucial markers for diagnosis and grading.
- X-ray Findings : While X-rays may not directly visualize cartilage, they can show secondary changes such as bone spurs, joint space narrowing, patellar malalignment and subchondral sclerosis, indicating advanced chondromalacia.
Management Strategies for Different Grades
Grade 1 and 2
Specific Exercises : Strengthening quadriceps and hip muscles can improve patellar tracking and joint stability, alleviating early-stage symptoms.
Grade 2 and 3
- Platelet-Rich Plasma (PRP) : PRP injections can stimulate tissue healing and regeneration, particularly in the early to mid-stages of chondromalacia.
- Prolotherapy : Injections of natural substances can promote tissue repair and strengthen the patellar support system, offering pain relief and improved function.
- Viscosupplementation : Hyaluronic acid injections lubricate the joint, relieving pain and enhancing mobility, especially in later stages.
Grade 3 and 4
- Prp, prolotherapy and Viscosupplementation : Combination Regenerative Injection treatments are helpful in cases with small areas of Grade 4 chondral damage.
- K-Taping : Application of specialized tape can provide additional support to the patella, improving alignment and reducing discomfort
- Bracing : Patellar braces or straps can help distribute pressure, improve patellar tracking, and reduce pain during movement..
Grade 4
Surgical Interventions : In cases of severe cartilage loss and functional impairment, surgical options such as patellofemoral joint realignment or partial patellectomy may be considered.
Embracing Knowledge for Informed Decision-Making
Understanding the grading spectrum of chondromalacia patella empowers individuals to seek timely diagnosis and appropriate treatment. The correlation between imaging, clinical evaluation, and grading facilitates effective management strategies, allowing patients to find relief from pain, enhance knee function, and improve their overall quality of life.
References
- October 2010 British Journal of Sports Medicine 45(2):140-6 DOI:10.1136/bjsm.2010.07669SourcePubMed
- Kaya D, Doral MN, Callaghan M. How can we strengthen the quadriceps femoris in patients with patellofemoral pain syndrome? Muscles Ligaments Tendons J. 2012 Jun 17;2(1):25-32. PMID: 23738270; PMCID: PMC3666499.
- Kavadar G, Demircioglu DT, Celik MY, Emre TY. Effectiveness of platelet-rich plasma in the treatment of moderate knee osteoarthritis: a randomized prospective study. J Phys Ther Sci. 2015 Dec;27(12):3863-7. doi: 10.1589/jpts.27.3863. Epub 2015 Dec 28. PMID: 26834369; PMCID: PMC4713808.
- McKay J, Frantzen K, Vercruyssen N, Hafsi K, Opitz T, Davis A, Murrell W. Rehabilitation following regenerative medicine treatment for knee osteoarthritis-current concept review. J Clin Orthop Trauma. 2019 Jan-Feb;10(1):59-66. doi: 10.1016/j.jcot.2018.10.018. Epub 2018 Oct 26. PMID: 30705534; PMCID: PMC6349636.
- Ayhan E, Kesmezacar H, Akgun I. Intraarticular injections (corticosteroid, hyaluronic acid, platelet rich plasma) for the knee osteoarthritis. World J Orthop. 2014 Jul 18;5(3):351-61. doi: 10.5312/wjo.v5.i3.351. PMID: 25035839; PMCID: PMC4095029.
