Introduction
Achilles tendonitis is a common condition that affects individuals of all ages, particularly those who are physically active or engage in activities that place excessive stress on the Achilles tendon. The Achilles tendon is the largest tendon in the human body, connecting the calf muscles to the heel bone. When this tendon becomes inflamed or damaged, it can lead to two distinct types of tendonitis: non-insertional Achilles tendonitis and insertional Achilles tendonitis. In this comprehensive blog, we will delve into the causes, pathology, imaging techniques, and treatment options for both types of Achilles tendonitis, with a focus on the treatment approach followed at Alleviate, which often includes PRP (Platelet-Rich Plasma) therapy and prolotherapy, as well as occasional steroid injections for severe insertional tendonitis.
Non-Insertional Achilles Tendonitis

Non-insertional Achilles tendonitis primarily affects the middle portion of the Achilles tendon. This type of tendonitis is more common in younger, active individuals. Let’s take a closer look at its causes, pathology, imaging, and treatment.
Causes of Non-Insertional Achilles Tendonitis
- Overuse : One of the primary causes of non-insertional Achilles tendonitis is overuse, especially in athletes who engage in repetitive activities that involve running or jumping.
- Poor Footwear : Ill-fitting or unsupportive footwear can contribute to the development of non-insertional Achilles tendonitis.
- Tight Calf Muscles : Tight calf muscles can increase stress on the Achilles tendon and lead to inflammation.
Pathology of Non-Insertional Achilles Tendonitis
Non-insertional Achilles tendonitis typically involves the degeneration of the tendon’s collagen fibers, causing small micro-tears. This degeneration is often a result of the continuous strain on the tendon, which can lead to pain and swelling.
Imaging for Non-Insertional Achilles Tendonitis
- Ultrasound : Ultrasound imaging can reveal the extent of tendon damage and provide real-time information about the condition of the Achilles tendon.
- MRI (Magnetic Resonance Imaging) : MRI can offer a detailed view of the tendon, helping to assess the severity of the condition and identify any associated inflammation or abnormalities.
Treatment of Non-Insertional Achilles Tendonitis
- Rest : Reducing or eliminating activities that stress the Achilles tendon is a critical component of the treatment plan.
- Physical Therapy : Physical therapy exercises can help strengthen the calf muscles and improve flexibility, reducing the strain on the Achilles tendon.
- Anti-Inflammatory Medications : Non-steroidal anti-inflammatory drugs (NSAIDs) may be prescribed to alleviate pain and reduce inflammation.
- PRP and Prolotherapy : At Alleviate, a common treatment approach for non-insertional Achilles tendonitis involves the use of Platelet-Rich Plasma (PRP) therapy and prolotherapy. PRP contains growth factors that promote healing, and prolotherapy stimulates tissue repair and regeneration.
- Orthotics and Supportive Footwear : Custom orthotic devices and supportive footwear can help reduce stress on the Achilles tendon and provide necessary arch support.
Insertional Achilles Tendonitis

Insertional Achilles tendonitis occurs at the point where the tendon attaches to the heel bone (calcaneus). This type of tendonitis is often seen in older individuals and may have different causes, pathology, imaging techniques, and treatment options compared to non-insertional Achilles tendonitis.
Causes of Insertional Achilles Tendonitis
- Bony Spurs : The formation of bone spurs on the heel bone can irritate the Achilles tendon, leading to inflammation.
- Chronic Overuse : Repetitive activities, especially those that involve jumping or running, can cause chronic overuse of the Achilles tendon and lead to insertional tendonitis.
- Poor Biomechanics : Abnormal foot mechanics or structural issues in the foot can contribute to insertional Achilles tendonitis.
Pathology of Insertional Achilles Tendonitis
Insertional Achilles tendonitis involves inflammation and degeneration of the tendon fibers near the point of attachment to the heel bone. This can lead to bone changes and the development of bone spurs.
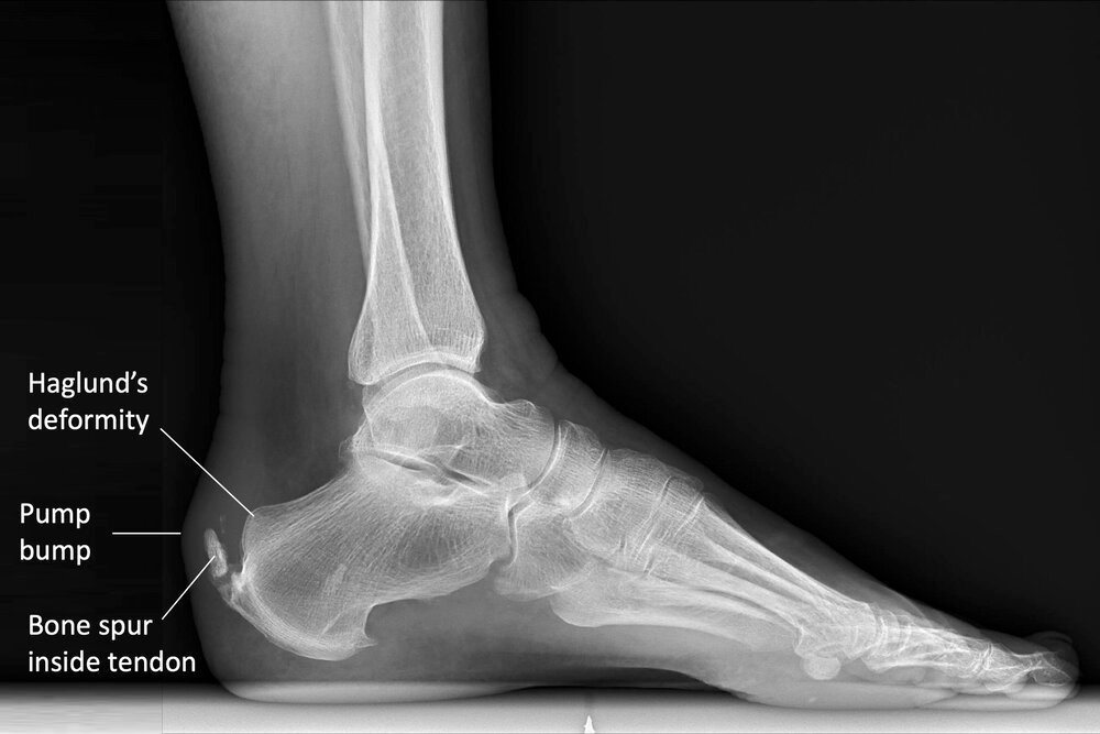
Imaging for Insertional Achilles Tendonitis
Insertional Achilles tendonitis on x-ray

Insertional Achilles tendonitis on MRI

- X-rays : X-ray imaging can help visualize any bone spurs or calcifications in the area of the Achilles tendon attachment.
- Ultrasound and MRI : Both ultrasound and MRI can provide detailed information about the condition of the tendon and assess the extent of degeneration and inflammation.
Treatment of Insertional Achilles Tendonitis
- Rest and Modification of Activities : Rest and avoiding activities that exacerbate symptoms are essential in managing insertional Achilles tendonitis.
- Heel Lifts : Heel lifts or shoe modifications can reduce tension on the Achilles tendon.
- PRP and Prolotherapy : At Alleviate, PRP therapy and prolotherapy are often employed to stimulate healing and tissue repair.
- Steroid Injections : For severe cases of insertional Achilles tendonitis, a steroid injection may be administered, but care must be taken to avoid injecting the tendon itself, as steroids can weaken the tendon tissue.
- Physical Therapy : Physical therapy exercises may help improve the strength and flexibility of the calf muscles and reduce strain on the tendon.
- Surgical Options : In cases where conservative treatments are ineffective, surgical intervention may be necessary to remove bone spurs or repair the tendon.
Alleviate’s Approach to Achilles Tendonitis
Alleviate, a renowned medical facility, often combines Platelet-Rich Plasma (PRP) therapy and prolotherapy to treat both non-insertional and insertional Achilles tendonitis. PRP therapy involves drawing a small amount of the patient’s blood, processing it to concentrate platelets, growth factors, and other healing agents, and then injecting the PRP into the affected area. Prolotherapy, on the other hand, involves injecting a solution into the damaged tendon or ligament to stimulate the body’s natural healing processes.
The combination of PRP and prolotherapy has shown promise in promoting tissue repair and reducing inflammation in Achilles tendonitis cases. These treatments harness the body’s natural ability to heal and provide a minimally invasive alternative to surgery.
References
- Maffulli N, Waterston SW, Squair J, et al. Eccentric calf muscle training in athletic patients with Achilles tendinopathy. Disabil Rehabil. 2008;30(20-22):1677-1684.
- Blazina ME, Kerlan RK, Jobe FW, Carter VS, Carlson GJ. Jumper’s knee. Orthop Clin North Am. 1973;4(3):665-678.
- Martin RL, Chimenti R, Cuddeford T, Houck J, Matheson JW. Achilles pain, stiffness, and muscle power deficits: midportion Achilles tendinopathy revision 2018. J Orthop Sports Phys Ther. 2018;48(8):A1-A38.
- Shetty VD, Shetty S, Garman A, Outcomes of chronic insertional Achilles tendinosis using FHL tendon transfer for augmentation. Foot Ankle Int. 2008;29(12):1184-1191.
- Sampson S, Gerhardt M, Mandelbaum B. Platelet rich plasma injection grafts for musculoskeletal injuries: a review.
